Before & After Pictures
Request a Call Back
Hero Request Form
Orthodontic Treatment Before & After Photos


















Partial Dentures


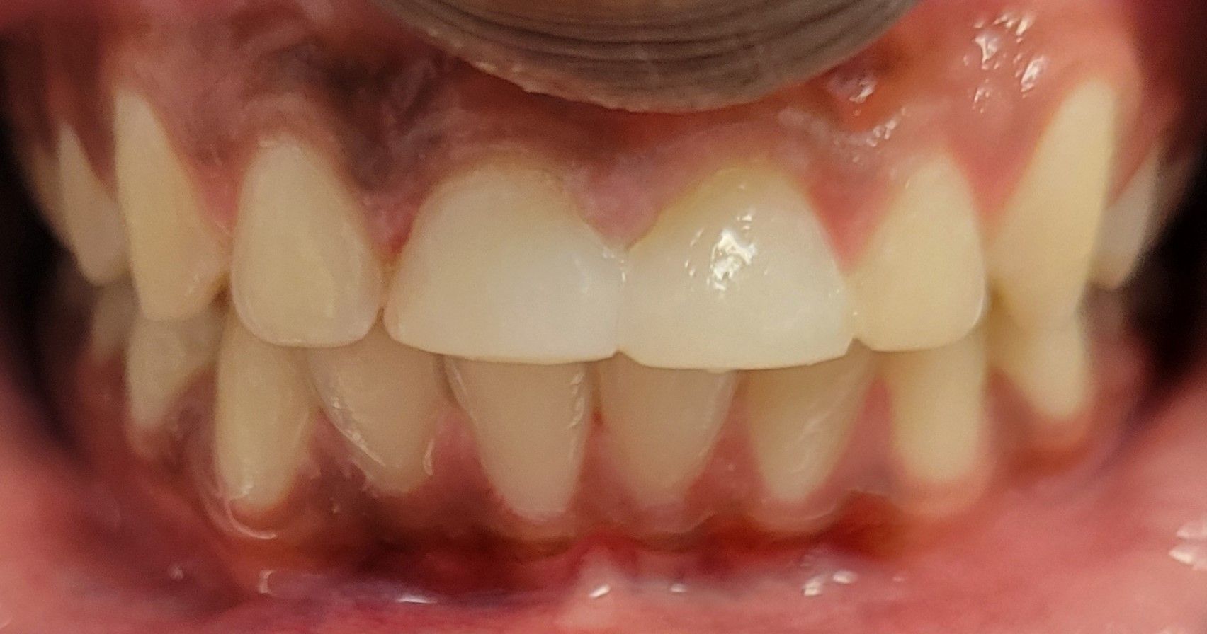
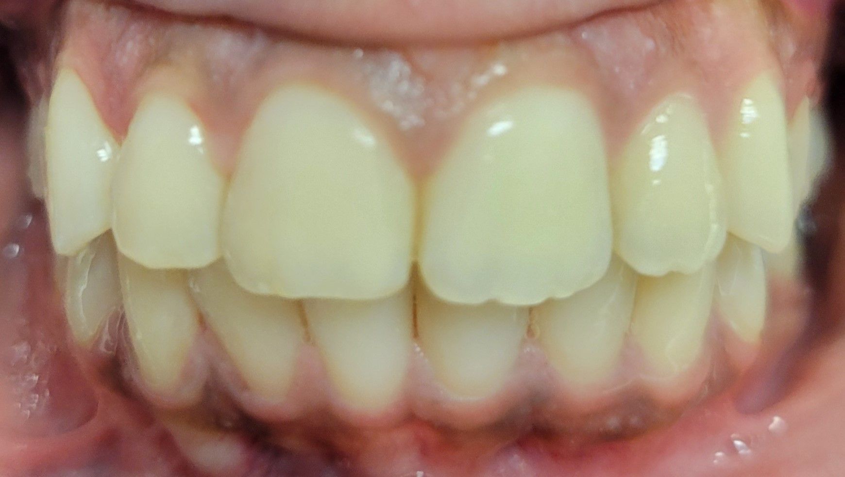
Anterior Bridge & Crown Before & After Photos






Invisalign Before & After Photos











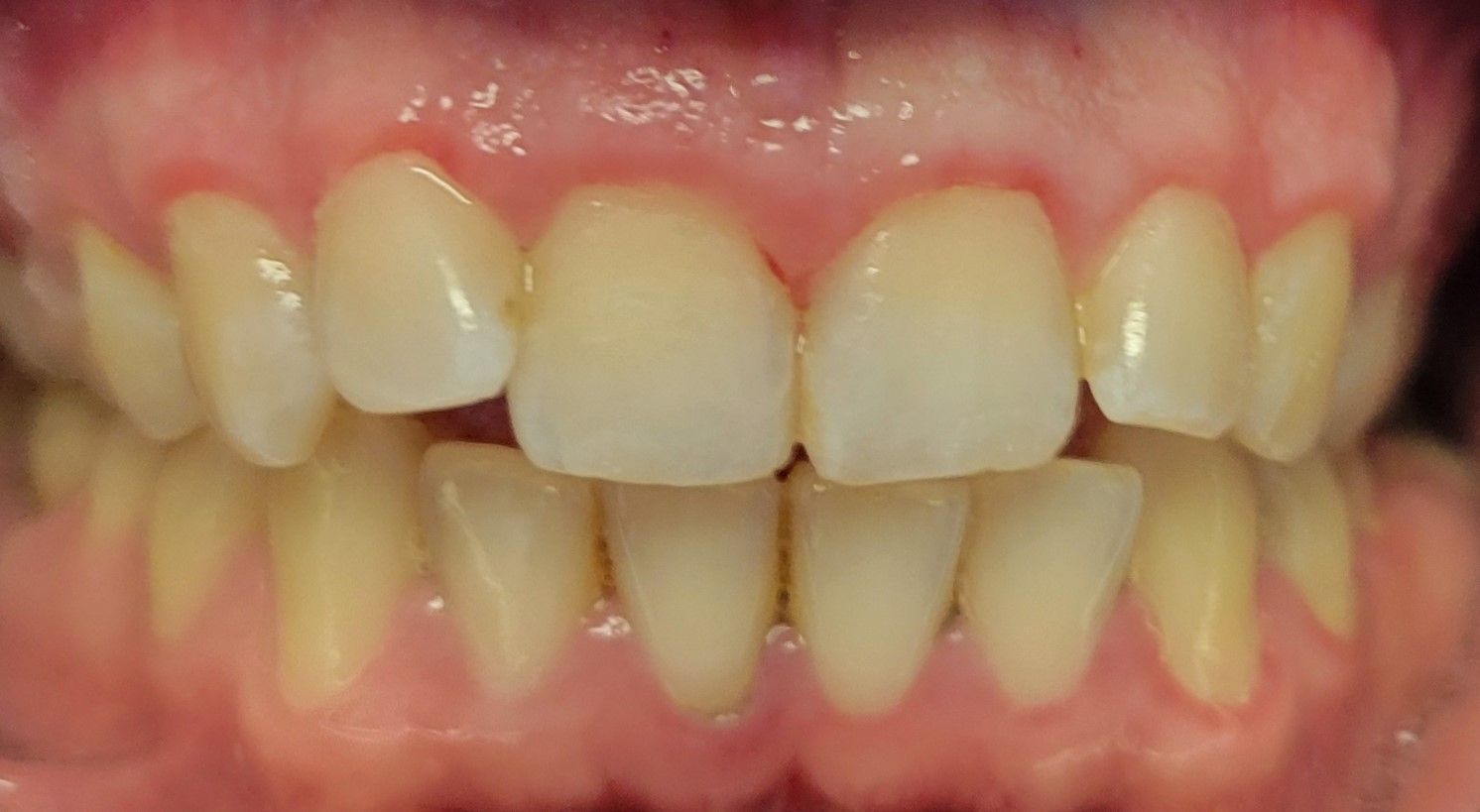
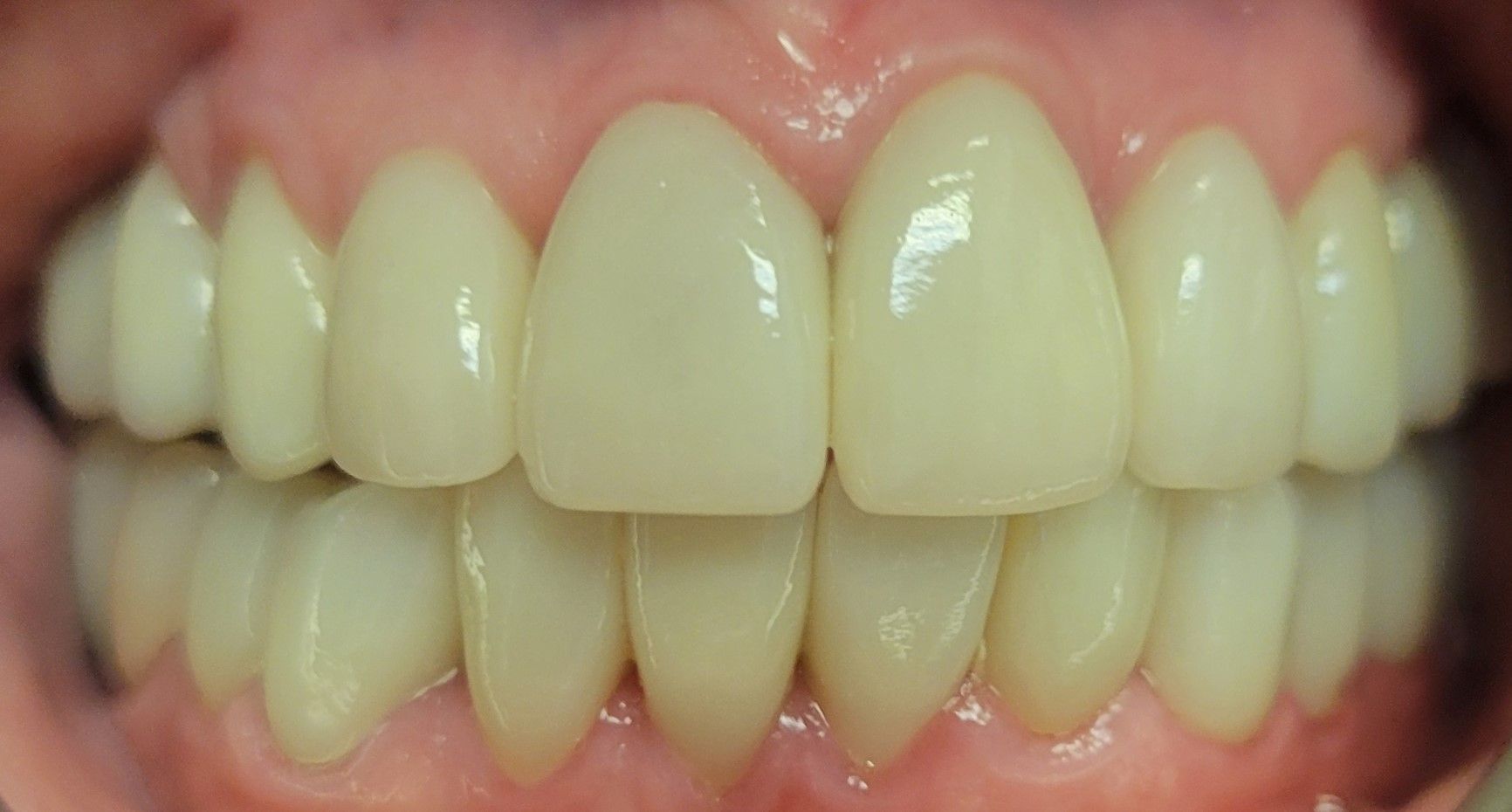
VENEERS



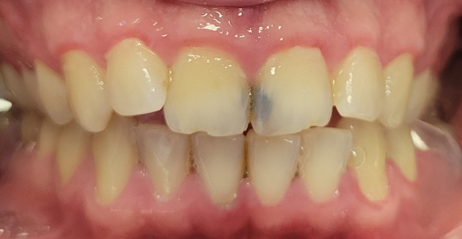
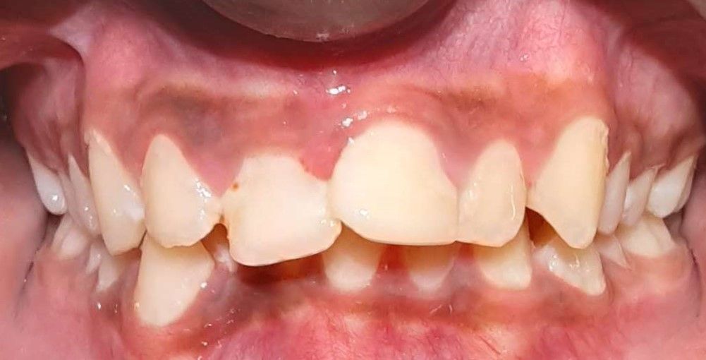
Anterior Composite Restoration



Share On: